
骨折复位内固定手术

创伤小、疼痛轻、恢复快是每个需要手术的病人的梦想。如今只需打一个直径0.5—1cm的小孔,就能完成骨折手术,在复位良好的基础上,达到微创治疗的目的,大大降低传统手术给骨折患者带来的二次伤害。
近日,在八一医院外科开展了一台有别于骨外科刻板印象中大刀阔斧的骨折复位内固定手术,“小打小闹”的解决了患者病痛。
患者韦小弟,因“跌伤致左肩部疼痛2小时”到我院外科住院治疗,入院后经查体,结合检查结果,明确诊断为:左锁骨骨折。

术前拍片

手术开展
经查体,左肩部可见组织肿胀畸形,可触及左锁骨中端骨折断端阶梯感,压痛明显,纵向叩击痛,左肩关节功能障碍,且家属有手术意愿,为其完善DR拍片、抽血检验等相关术前检查,排除手术禁忌症,经内科、麻醉科等科室会诊后,均认为可择期行手术治疗。手术过程中,医护人员密切配合,麻醉师准确控制麻醉药物的剂量和速度,确保患者在无痛的状态下接受手术。医师团队则凭借精湛的技术和丰富的经验,成功完成了骨折复位内固定手术。

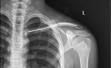
术后拍片
手术后,患者恢复情况良好,疼痛明显减轻,活动能力逐渐恢复。患者对手术效果非常满意,表示八一医院能够提供如此高水平的医疗服务,让他们感到非常的欣慰。


八一医院外科诊疗范围

常规手术:各种四肢骨折复位固定治疗、髋关节置换术及翻修术、四肢皮肤软组织及神经损伤修复重建术、烧伤、烫伤后植皮整形等。
四肢创伤及骨科疾病诊治:皮肤软组织及肌腱神经损伤、四肢骨折、股骨头坏死、骨性关节炎、类风湿性关节炎、关节结核及肿瘤等骨科疾病的诊断和治疗。
脊柱相关疾病诊治:腰椎间盘突出及各种退行性病变传统手术,胸腰椎骨质疏松症、压缩骨折、脊椎骨折及退行性变引起的腰背肢体疼痛、麻木等。
普外科手术:主要开展甲状腺切除术及胃肠疾病各种手术、肝胆胰腺手术、肠粘连分离术、吻合器包皮环切术、吻合器痔疮环切术及二级医院常规开展的腹腔镜一胆囊切除术、肝囊肿开窗术、疝修补术、消化性溃疡穿孔修补术、阑尾切除术、精索静脉曲张高位结扎术等手术。
泌尿系统疾病:开展泌尿系结石取出手术(经皮肾手术等)。
其他特色手术:包皮和痔疮PPH微创手术(PPH环切器微创手术是当今最好的无痛微创治疗痔疮的诊疗方法,时间短痛苦少),腋臭切除术及胸腔闭式引流等手术。
疼痛骨病诊疗范围:
★颈肩和腰腿部疼痛
★慢性神经病理性疼痛
★面瘫、神经性耳鸣、眩晕症、失眠、中风后遗症等
★骨关节与软组织疼痛(膝关节痛、肌筋膜炎、网球肘、腱鞘炎、肌肉损伤、早中期股骨头坏死等)
健康热线:
外科门诊:4816716
外科病房:4816718
|
|