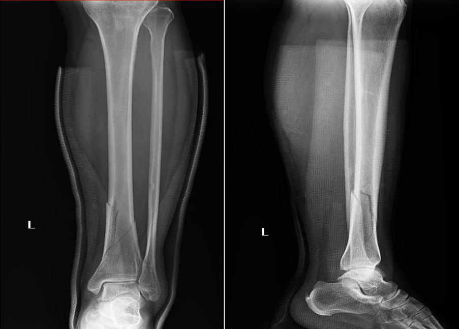
被撞伤致胫骨下段骨折

入院后,八一医院外科医生团队迅速为屈女士进行全面检查,结合其病史、体征及各项检查结果,明确诊断为左侧胫骨下段骨折。通过术前拍片,清晰显示出骨折部位的情况。

术前拍片显示


此次手术的成功,离不开八一医院外科医务人员的紧密协作。他们以高度的责任感和专业精神,及时解决了患者的燃眉之急,有效避免了病情恶化的风险。未来,八一医院外科将继续秉持创新精神,不断提升医疗技术水平,致力于为广大病患提供更加优质、高效的医疗服务。

八一医院外科诊疗范围

常规手术:各种四肢骨折复位固定治疗、髋关节置换术及翻修术、四肢皮肤软组织及神经损伤修复重建术、烧伤、烫伤后植皮整形等。
四肢创伤及骨科疾病诊治:皮肤软组织及肌腱神经损伤、四肢骨折、股骨头坏死、骨性关节炎、类风湿性关节炎、关节结核及肿瘤等骨科疾病的诊断和治疗。
脊柱相关疾病诊治:腰椎间盘突出及各种退行性病变传统手术,胸腰椎骨质疏松症、压缩骨折、脊椎骨折及退行性变引起的腰背肢体疼痛、麻木等。
普外科手术:主要开展甲状腺切除术及胃肠疾病各种手术、肝胆胰腺手术、肠粘连分离术、吻合器包皮环切术、吻合器痔疮环切术及二级医院常规开展的腹腔镜一胆囊切除术、肝囊肿开窗术、疝修补术、消化性溃疡穿孔修补术、阑尾切除术、精索静脉曲张高位结扎术等手术。
泌尿系统疾病:开展泌尿系结石取出手术(经皮肾手术等)。
其他特色手术:包皮和痔疮PPH微创手术(PPH环切器微创手术是当今最好的无痛微创治疗痔疮的诊疗方法,时间短痛苦少),腋臭切除术及胸腔闭式引流等手术。
疼痛骨病诊疗范围:
★颈肩和腰腿部疼痛
★慢性神经病理性疼痛
★面瘫、神经性耳鸣、眩晕症、失眠、中风后遗症等
★骨关节与软组织疼痛(膝关节痛、肌筋膜炎、网球肘、腱鞘炎、肌肉损伤、早中期股骨头坏死等)
健康热线:
外科门诊:4816716
外科病房:4816718
|
|